〒121-0813 東京都足立区竹の塚2丁目1-10
03-5851-7677
トリミング・シャンプー予約専用 03-5851-7678

当院では0.5mm×80列(160スライス)検出器マルチスライスヘリカルCTスキャナを導入いたしました。
最新のマルチスライスCTでは「高画質」「高速ワークフロー」「低被ばく」すべての要素を高いレベルで実現し、検査時間は非常に短く、動物への負担も最小限ながら精密検査が受けられます。微細な組織構造も明瞭に描出するので、病変の早期発見から検査後の治療計画まで的確な診断で飼主様の不安感を軽減いたします。
また、一部では無麻酔下でのCT撮影が出来るようにもなり、麻酔のリスクがある動物にも今までより安全に検査が受けられるようになりました。
症例やCT検査などでご不明な点がござましたら、お気軽にご相談ください。
CT検査は骨に囲まれた病変や、骨に対する浸潤度を画像でとらえるのに非常に有効な検査機器です。
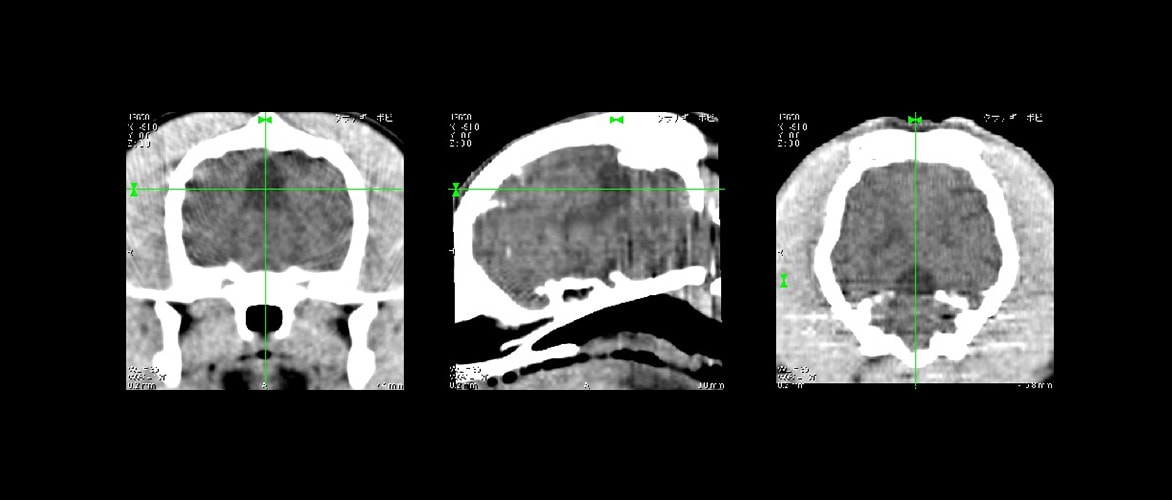
水頭症のチワワの脳内の画像です。通常左右対称であるべき脳室が不対称になって脳脊髄液による圧迫が認められます。



門脈(肝臓に向かう血管)の途中で短絡(シャント)をしている血管の先天異常です。 シャント血管のほうが大きくなっていることがお分かりでしょうか?
この血管はこのまま胃の後部を迂回して胸腔内の大静脈へつながっていました。



木馬様歩行を呈し来院。小脳疾患が疑われたためCT撮影を実施しました。小脳背側に認められる脳室のような低CT値のマスはクモ膜下嚢胞で、それによる物理的な小脳圧迫と診断されました。現在は脳圧を下げる治療を継続し症状は消失しました。

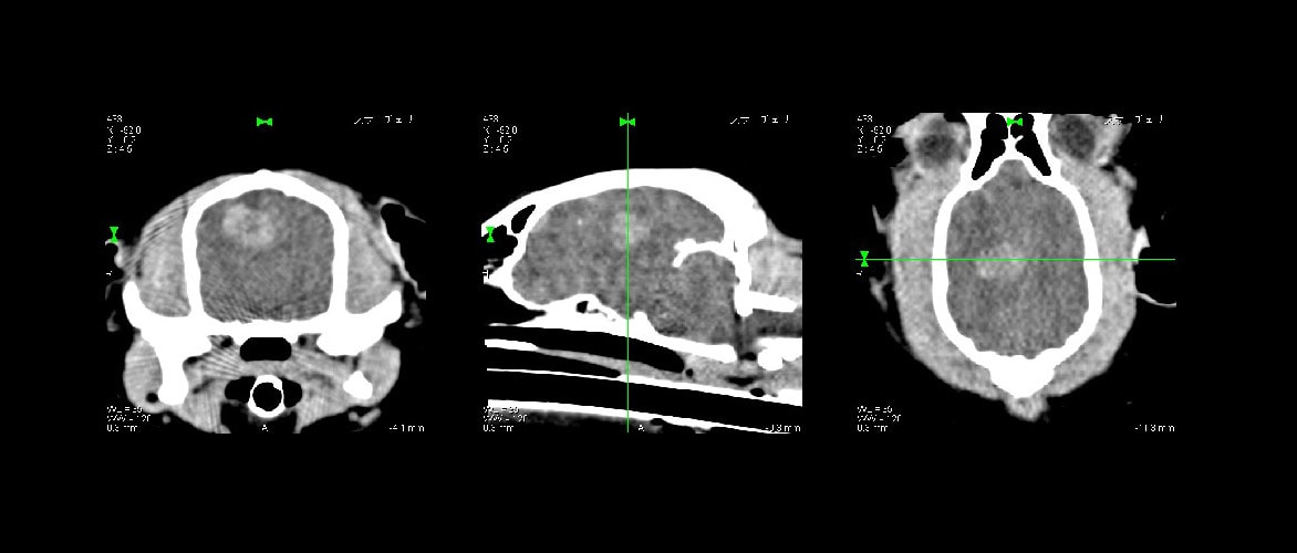
1週間ほど右斜頚が続きその後起立不能になり来院。左顔面神経麻痺が認められ大脳疾患が疑われCT撮影を実施しました。頭頂部やや左側に高いCT値のマスが認められます。これは血腫でした。ステロイドの内服にて除々に症状も消失し現在は経過良好です。

CT画像は冠状断面(輪切り)で見た断層画像です。CT撮影後その情報をコンピューター処理後、矢状断面に再構築した画像です。椎間板からの髄核物質が脊髄を圧迫しているのがよく分かります。CTで診断し、同時に手術することにより回復が早くなりました。

レントゲンにて腫瘍の存在は疑われたのですが骨浸潤は認められませんでした。ところがCT撮影を行ったところ鼻中隔・眼窩部の骨浸潤が確認できました。

歯肉の腫瘍は外見ですぐに確認できるものですがレントゲンで確認できなかった骨浸潤像がCTで確認できました。さらにこの腫瘍は眼窩底から眼球を上方に圧排していることが認められました。

動物は本能的に痛みや異常を隠す傾向があります。明らかな症状が出てきたときには病気が進行してしまっているというケースも少なくありません。
近年人間と同様に犬、猫たちの寿命も長くなっているとともに、高齢になるにつれて生じる病気(癌、心臓病、代謝性疾患など)も人と同じように増えてきています。
特に犬、猫は人間の4〜6倍ほど早く歳をとっていくと言われており、小型犬や猫では7歳、中型犬では6歳、大型では5歳から高齢期に入ります。
言葉を話せない動物たちの病気の早期発見・早期対応をするために各種検査をすることは非常に重要です。
大切な家族である動物たちと少しでも長く健康的に暮らしていけるように、当院では、CT検査を利用したペットドック(動物の全身健康診断検査)を実施しております。
詳しくはお電話でお問い合わせいただくか、診察時に獣医師にご相談ください。
当院では、脂肪幹細胞療法を受けられます。
治療法がないと諦める前に、
ご相談ください。


病気やケガで炎症や損傷を起こしているところに、炎症を抑える物質や損傷を治すための物質を届けるために働きます。
生き物は免疫のバランスを上手にとっています。しかし、その免疫バランスが崩れると自己免疫性疾患といった病気を引き起こしてしまいます。幹細胞は、崩れてしまった免疫バランスを調整し、正常に戻すように働きます。
患者自身から脂肪が採取できない場合でも、脂肪を提供してくれるドナーの脂肪から培養した脂肪幹細胞(他家脂肪 幹細胞)を使って治療することができます。
他の犬や猫の細胞を投与しても大丈夫?と心配になるかと思いますが、幹細胞は特別な力を持っていて他の犬や猫の幹細胞であっても大きな問題はなく投与できると言われています。
※詳しくはスタッフまでお尋ねください。
腹腔鏡(硬性内視鏡)手術は、お腹にカメラや器具を入れて、モニターで映し出された映像を見ながら行う手術です。開腹すること無く手術を行うことが出来るため、からだへの負担が小さく済むことが特徴です。
腹腔鏡を用いた手術として、避妊去勢手術などが挙げられます。
